脊髄損傷による麻痺
背骨の中を通っている神経の束「脊髄」は、脳から出される「指令」と、身体の各部の「知覚」と「運動」を繋ぐ、大切な情報伝達回路の役割をしています。そのため、背骨は柔軟且つ頑丈な構造で中にある脊髄を強固にガードしているのですが、交通事故やスポーツ中の事故などによって激しい衝撃を受けると、背骨が折れたりずれたりして中を通る脊髄を損傷してしまうことがあります。或いは、腫瘍などの病気によって脊髄が圧迫され損傷に至る場合もあります。このようにして脊髄損傷になると、神経の大切な情報伝達が正常に行われなくなってしまうため、以下のような「麻痺」という大きな身体機能障害が現れます。
- 脳からの「指令」が身体の各部に届かない
→思った通りに体を動かせない(運動障害) - 身体の各部で受け取った「知覚」が脳に届かない
→感覚がない(知覚障害)
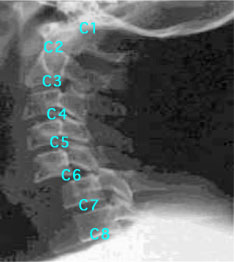
首の部分の脊髄=頸髄
脊髄の中でも首の骨(頸椎)の中を通っている部分を「頸髄」といい、脳に近いほど生命を維持するうえで重要な機能に関わる情報の伝達を担っています。そのため、頸髄の上の部分を損傷するほど、その下の神経が担う部位の機能を失うことになり、一般的に言うと重い障害を負うことになります。ただし、神経組織とは極めて繊細で微少なものなので、脊髄が完全に切れて全く動かなくなる場合(完全麻痺)と、部分的に途切れて所々が動かなくなる場合(不全麻痺)があるように、損傷の位置や度合いによって非常に個人差のある症状が現れます。そのため、障害の大まかなレベルを表すのに、頸髄のどの部位を損傷したかを意味する「C1」(頭に近い部位)〜「C8」(首の付け根)という表記を用います。
脊損と頸損
つまり、「頸髄損傷(略:頸損)」とは、大きな分類で「脊髄損傷(略:脊損)」といわれる中のさらに細分化された言い方ということになるのですが・・・あえて細かく区別して使うのは、首から下の脊損は上肢に障害を伴わないため、移動には車椅子を必要としながらも、その他の自分の身の回りの世話は行える場合が多いのに対し、首の部分の脊損(=頸損)による麻痺は上肢の手指にまで至ることが多く、日常生活における多くの場面に介護を必要とすることになるからです。頸損の場合、損傷の位置や度合いによって以下のような介護や補助具が必要になります。
- 腕や手指の麻痺により、食事等の動作に介助や自助具が必要
- 腕の麻痺により自力で車椅子を漕げず、電動車椅子を使用
- 呼吸の麻痺により、人工呼吸器を使用
- 知覚や運動機能の麻痺により、排泄に介助や器具が必要
- 腹筋や背筋の麻痺により、座った姿勢を保つために支えや固定ベルトが必要
頸損に多く見られる症状
【痙性(けいせい)】
痙性とは、麻痺している筋肉が自分の意思に関わらず勝手に緊張して収縮する症状です。足がガクガクと痙攣を起こしたようになったり、全身が硬直して突っ張った状態になったりします。
【体温調整ができない】
頸損になると自律神経が正常に機能しなくなるため、体温の調整ができなくなります。夏は暑くなっても汗が出ないため体に熱がこもり、体温が38度以上にもなってしまうこと(鬱熱)があります。逆に寒くなると今度は体温が下がりすぎてしまうこともあります。
【起立性低血圧】
首から下が完全に麻痺してしまった重度の頸損の場合、長時間体を起こした時に体中の血液が下がってしまい、貧血状態(立ち眩み)のようになります。これを起立性低血圧といいます。
【褥創(じょくそう)=床ずれ】
体の一部が同じ状態のまま長時間圧迫されると、その部分の血行が悪くなり、皮膚や肉の細胞が死んで穴があいたような状態になります。体を動かせない上に、感覚が無いことで気付くのが遅れ、症状を悪化させてしまうことが多いので注意が必要です。
【尿路感染】
排尿障害や衛生環境により尿路が菌に感染しやすくなります。高熱を発したり血尿が出るなどの症状が見られます。膀胱ろうやカテーテル導尿の場合、異物による刺激で膀胱内に結石もできやすく、感染を起こしやすくなります。
【肺活量の低下】
様々な筋肉の麻痺により肺機能が低下し、肺活量が低下します。声が小さかったり掠れたりして会話が聞き取りにくい場合があったり、風邪を引いた際に咳や排痰が上手くできず肺炎に陥りやすいなどの危険があります。
【過反射】
自律神経の異常により、ある種の刺激に対して体が過剰に反応してしまうことがあります。尿意や便意、無意識な痛みなどに反応して多量の発汗(冷や汗)があったり、急激に血圧が上昇して激しい頭痛を起こしたりすることもあります。

